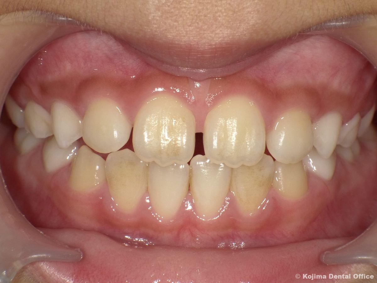
5歳児の反対咬合
2026年01月08日(木)
当院では幼児から小学生の食べる機能を支援している。食事の姿勢や食べ方、食形態、口唇閉鎖、舌トレーニング等々である。一番の変化は、口腔底によどんでいる舌の可動範囲か増えることではないかと思う。舌尖が口蓋乳頭部にしっかり当てることができるようになり、舌打ちがうまくできるようになる。飲み物がなくても前歯で食いちぎり、奥歯でしっかり噛んで食事ができるようになり、唾液の分泌量も増えていく。食事時間も短くなり、発音が明瞭になったり、口呼吸から鼻呼吸の変化もある。
補助的に、反対咬合ではムーシールド、歯の萌出スペース不足ではT4Kを一つの選択肢として考えている。永久歯が逆被蓋になってから治療する考え方もあるが、当院では早期に治療を開始する。乳歯列逆被蓋の幼児にムーシールドを2,3ヶ月夜間に装着し、口の働きを育むと、上顎乳前歯部は前方に拡大し、被蓋が改善してくる。そうすれば、咀嚼による発育刺激が劣成長の上顎骨に伝わり(下の前歯が上の前歯を突き上げる)、正常な上下顎の発育曲線に短期間で追いつくことができる。
しかし、ムーシールドは、下口唇圧をそのままに、上口唇圧を排除し、口唇圧のバランスを整え、上顎前歯の拡大できるスペースを確保しているだけなので、口の働きが育っていないと、逆被蓋は改善しない。
永久歯が逆被蓋で萌出した場合は、リンガルアーチなどを装着して、早期に正常被蓋に導き、咬筋の働きを整える。
上下4前歯が生えそろう8歳前後にムーシールドからプレオルソタイプⅢへ変更し、16歳頃まで日中1時間パクパク噛む練習を行い、咬合を安定化させる。
参考として
乳歯の反対咬合は自然治癒するのか?
kojima-dental-office.net/19850608-5481
ムーシールド講演会 1
kojima-dental-office.net/20090215-2556
ムーシールド症例
6歳児の反対咬合
kojima-dental-office.net/20120820-2579
口の健全な育成について
kojima-dental-office.net/category/ikusei
症例 1
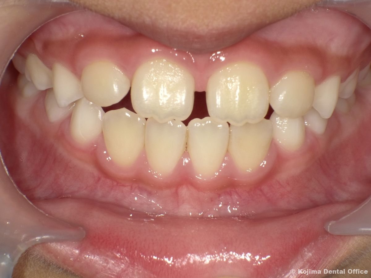
患者 5才女児
初診 2015年12月10日
主訴 歯並びの相談
現症 乳歯列の反対咬合
食事中にクチャクチャ音がする、舌打ちの音がクリアではない
経過
12/10 反対咬合の現状と治療方法を解説
12/11 口腔機能の検査およびムーシールドによる治療開始
唾液量 3.0ml/5分
咀嚼能率スコア法はもう少し
トレーニングの解説
食姿勢正しく、大きなものをよく噛んで食べる
2016年
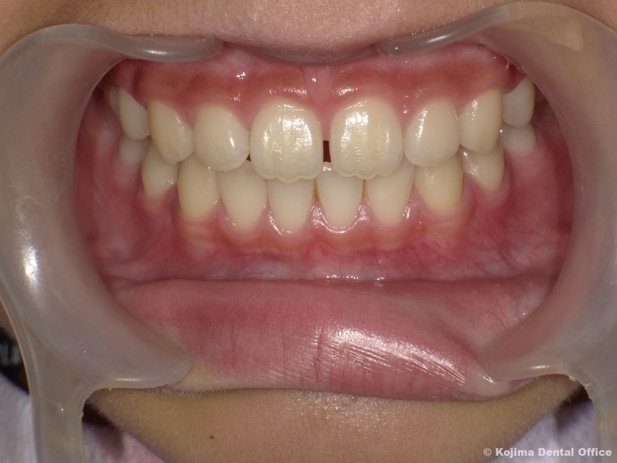
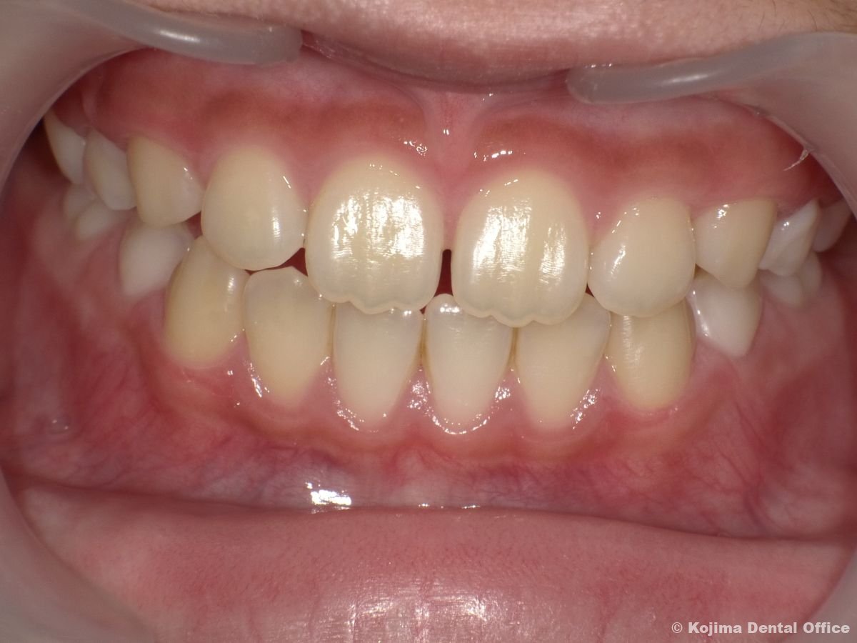
1/21 40日後に乳前歯が正常被蓋になる
2017年
8/21(7才) 切端咬合
咀嚼能率スコア法はOK

2018年
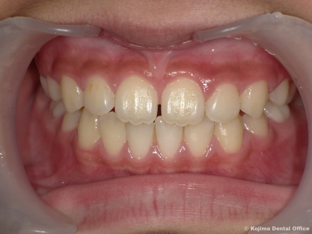
10/18(8才) わずかに開咬
前歯で嚙み切る食材を増やすように指示する
2021年
4/2 唾液量もOK
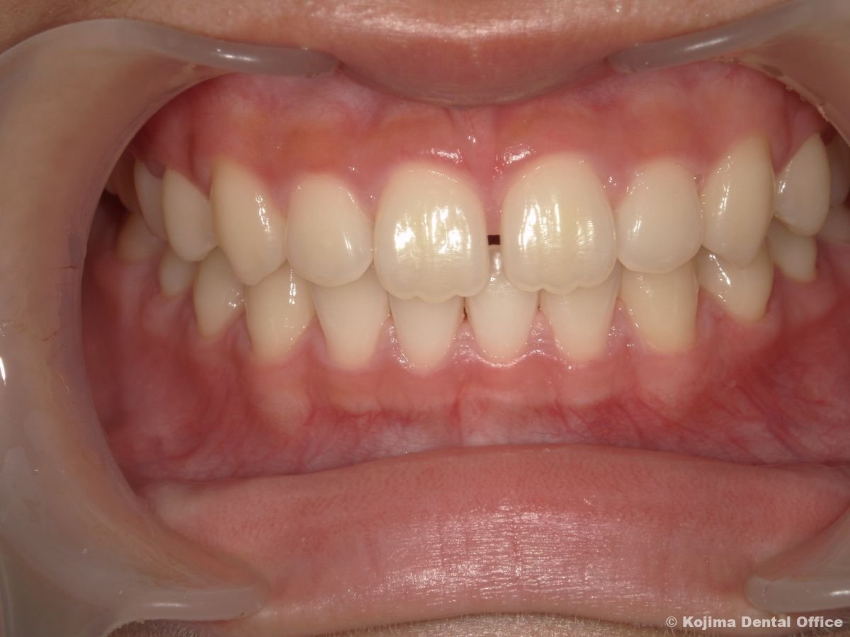
10/20(11才) 第1小臼歯が咬合せず

2022年
8/4(12才) プレオルソタイプⅢを日中1時間入れてパクパク噛む練習
2023年
8/8(13才) 臼歯部が咬合するが、左側は1対2歯、右側は1対1歯で咬合
下顎正中が右側へ偏位
2024年
7/30(14才) プレオルソタイプⅢを装着しなくなった
2026年
1/6(15才) 経過観察
症例 2
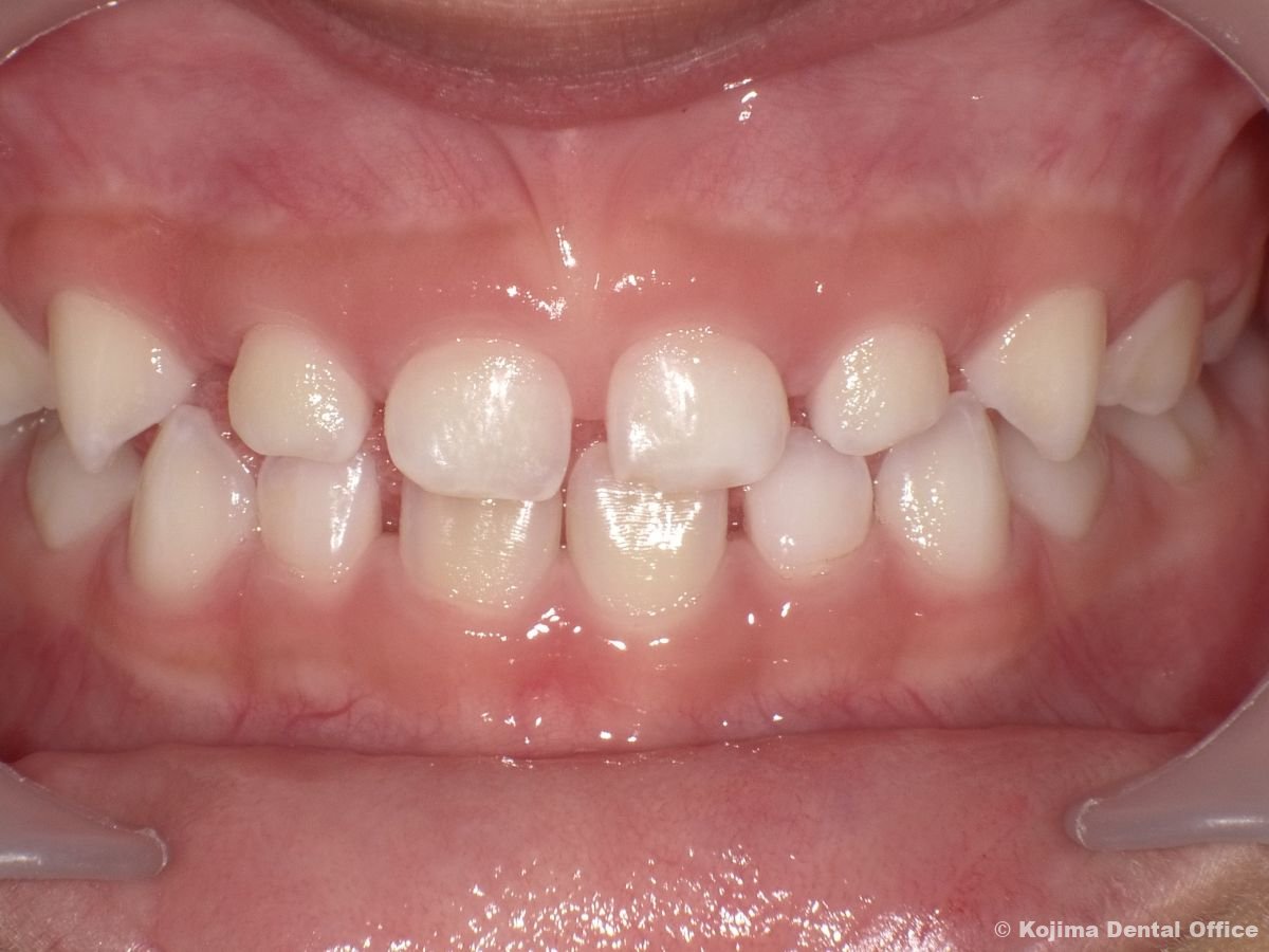
患者 5才女児
初診 2010年11月15日
主訴 歯並びを治したい
現症 乳歯列の反対咬合
咬み合わせると下顎前歯によって上顎前歯覆い隠される
鼻づまり
経過
11/15 口腔周囲の肉眼的所見や機能状態とムーシールドやその他の治療法を説明
11/24 模型作製、セファロX線撮影
12/9 口腔内写真
唾液量 0.5ml/5分
舌打ち音がクリアではない、タ・ラの発音が弱い
診査、検査の結果と治療方針の説明
ムーシールド開始
トレーニングの解説
踵を床にしっかりつけて姿勢正しく、よく噛んで食べる
舌打ちと上顎前歯で下唇を噛む練習
ムーシールドを入れて唇を閉じて鼻呼吸の練習
2011年
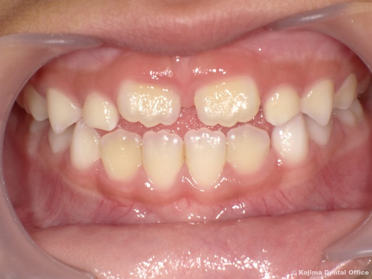
2/21 唾液量 4.5ml/5分
舌打ち音がクリアになる
ムーシールド朝まで外れなくなる
12/1 両側A脱落
両側下顎DEにCRを添加して咬合挙上する
2012年
1/31 左上顎1番が口蓋側に萌出
3/15 リンガルアーチ装着
4/26 左上顎1番が正常になる
9/13 両側1番が唇側、右上2番が口蓋側、臼歯部が咬合しない
リンガルアーチを除去し、よく咬んで食べるように指示
夜間にムーシールド装着
2013年
2/28 リンガルアーチ再び装着
5/18 両側2番を唇側へ
6/29 リンガルアーチ除去、夜間にムーシールド装着
2014年
2/8 カムゾウくんを利用した咀嚼能率訓練
5/24 臼歯部が空いてきた
6/14 夜間、チンキャップ装着開始
8/2 臼歯部が噛んでくる
2015年
1/31 臼歯部がしっかり咬合する
2016年
1/9 咬合が安定する
症例 3
患者 5才女児
初診 2017年6月26日
主訴 歯並びが気になる
現症 乳歯列の反対咬合
咬み合わせると下顎前歯によって上顎前歯が覆い隠される
食べるときにクチャクチャ音がする
口呼吸、以前に爪噛みの癖、中耳炎で耳鼻科に通う
経過
6/26 相談、ムーシールドの話
12/28 歯並びを治したい
口腔周囲の肉眼的所見や機能状態と治療法を再度説明
2018年
2/19 右下Bがぐらぐらする
診査、検査の結果と治療方針の説明
検査
舌打ち音がクリアではない、タ・ラの発音が弱い
口腔内写真、模型作製
カムソウ君による咀嚼機能検査判定 ① ほとんど噛めていない
唾液量が少ない 1.5ml/5分
舌の持ち上がりが悪い
舌先による口蓋に付けた海苔の剥がし時間 15~20秒
口腔機能改善に向けた指導
踵を床にしっかりつけて姿勢正しく、よく噛んで食べる
食事時に飲み物を置かない
治療開始
ムーシールドの夜間装着
日中10分間、ムーシールドを入れて唇を閉じて鼻呼吸の練習


3/19 6歳
舌打ちなど舌のトレーニングの指導
5/14
下の両側の2が萌出
上のB~Bが見えるようになる
上顎歯列弓が拡大し、咬合高径が高くなる
右上6番も萌出し、上下6番4本が咬合する
治療
ムーシールドを継続、朝まで外れない



6/18
上顎歯列弓の拡大傾向が続き、オーバーバイトがかなり浅くなる
下顎歯列弓の狭窄が気になる
下顎2番の舌側萌出による叢生とC~Eの舌側傾斜
舌打ちなど舌のトレーニングの強化
9/10
左のAとB間のスペース拡大
上の1番萌出待ち
検査
カムソウ君による咀嚼機能検査判定③ しっかり噛めるようになる




10/15
上の両側1番が口蓋側に萌出
リンガルアーチの話をする
2019年
1/21
リンガルアーチを装着、両側1番に補助断線


7/29 7歳
リンガルアーチの補助断線変更、両側1、2番に補助断線


10/7
左の2番は切端咬合だが、残りの3前歯は正常咬合となる
リンガルアーチを除去し、ムーシールドへ戻す
食姿勢と食べ方を再確認し、舌打ちなど舌運動の猛特訓


2021年
1/28 8歳
上顎両側4番と下顎両側3番が生え替わる
下顎前歯の叢生改善せず スペース不足による下顎2番の舌側萌出
舌打ちの音がクリアになる
舌先による口蓋に付けた海苔の剥がし時間4秒となり、舌の持ち上がりが良くなる


11/1 9歳
上顎5番を残して全て永久歯に生え替わる
下顎歯列アーチが綺麗なU字形となる
下顎正中が左へ2mmずれている
検査 唾液量4.0ml/5分に増えるなど、ほとんどの口腔機能が改善
治療
ムーシールドからプレオルソタイプⅢに変更
日中1時間装着して、パフパフ咬合練習


2022年
8/1 10歳
正常咬合 下顎正中の左2mmへのズレは変わらない







































