エッセイ
持論
2004年06月15日(火)
子どもたちの食生活
最近、保育現場などから「噛まない子」「噛めない子」や「なかなか飲み込まない子」というような報告が多くあり、また、小学校では「朝食をとらない」「夜習い事に出かけるために夕食時間が不規則になる」「学校給食において、食事姿勢の崩れや食器が上手に使えない」などの問題も指摘されています。そして学校検診でも口の中に多くの変化が観察されるようになりました。歯の噛み合わせが整っていなかったり、舌が細くて弱々しく、舌の縁に歯の痕がついていたりしています。
摂食機能は、生後、学習して獲得する機能です。 続きを読む
2000年01月25日(火)
日本の企業はバブルの崩壊以来、よりいっそうコスト削減、リストラなど競争に勝つことだけを考え、効率だけが価値判断基準となり、モラルを忘れてきた。「皆のために何が」を考えるべき時期に来ている。歯科界も荒波が押し寄せ、厳しい冬の時代を迎えている。患者を忘れ、サ-ビス業に走り始めようとしている。 続きを読む
2023年02月08日(水)
日本国憲法第二十五条は、(1)「すべて国民は健康で文化的な最低限度の生活を営む権利を有する。」 (2)「国は、すべての生活部面について社会福祉、社会保障及び公衆衛生の向上及び増進に努めなければならない。」と、規定している。これは国民には生存権があり、国家には生活保障の義務があるという意である。
また、国民健康保険法により、国民は、「皆保険体制(国民全員が公的保険に加入)」、「フリーアクセス(いつでもどこでも平等に医療を受けられる)」、「現物支給(保険証一枚あれば、窓口負担だけですぐ医療を受けられる)」の権利を有している。
しかし、政府は、効率だけが価値判断基準となり、憲法・国民健康保険法の精神を忘れている。高齢者の負担増に加え、入院の食費・居住費などの給付削減に突き進んでいる。健康保険証を廃止し、マイナンバーカードとの一体化にも踏み込んできた。 続きを読む
歯と口腔の健康づくり推進計画や食育推進計画に「口の働きを育てる」施策を
2025年10月21日(火)
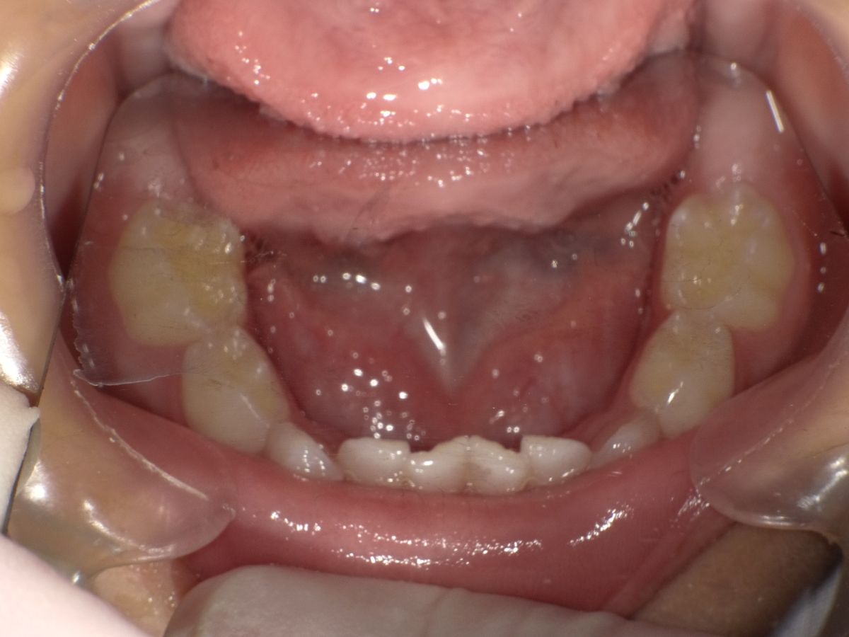
歯並びの叢生(スペースの不足によって、歯が前後に重なってしまう)は、約50年前まではあまり見られなかったが、診療室で約30年前より永久歯に見られるようになり、約10年前より乳歯にも見られるようになってきた。3歳児健診でも、下顎の乳前歯で叢生が見られるようになった。
2022年10月11日公表した厚生科学審議会地域保健健康増進栄養部会 歯科口腔保健の推進に関する専門委員会の報告書によると、歯科口腔保健の推進に関する基本的事項19項目の中で、唯一悪化しているのは「3歳児の不正咬合(叢生)」であった。この原因は、添い乳と食姿勢や食べ方、鼻閉などによる口腔機能発達の仕方にあると推測され、それらを学ぶ機会が重要である。 続きを読む
原子力規制委員会 棄てられた能登の教訓:「組織防衛」の果てに
2026年01月22日(木)
原子力規制委員会は新たな災害対策指針を策定した。新規制基準に適合した原発であれば、対策が功を奏して重大事故が発生しても放射性物質の放出量は3.11東電原発事故の100分の1以下に抑えられるという、また、木造家屋いれば、被ばく量を屋外の約4割に低減できるという、新たな「安全神話」を作り出した。実態とかけ離れた机上の計算に過ぎない。
安全だから、5キロ離れた人は逃げないで家の中に居なさい。みんなで移動したら大渋滞になるし、避難計画を立てられない。原発を立地できなくなる。しかし、前提となるスタートが間違っているから、どんなにいろいろ理屈を並べても、矛盾の上塗り。さらに、原発に問題が生じる事態であれば、一般の家屋は当然倒壊している。
この持論を読んでそれぞれの方が考えてもらいたい。 続きを読む
2022年07月19日(火)
2021年3月に「世界経済フォーラム」が、政治・経済・教育・健康の4項目で国内の男女格差を測る「ジェンダー・ギャップ指数」を発表した。日本は156カ国中120位であり、先進国では最下位、多くの新興国・途上国より低かった。政治分野で女性の進出が遅れていることが、日本の総合順位が低い最大の理由である。
ジェンダー・ギャップ指数2021
www.gender.go.jp/public/kyodosankaku/2021/202105/202105_05.html
妊娠・出産は「生物学的性差」に基づいている。ただし育児は女性だけではなく、男性にもできる。社会には今なお「育児はママの仕事」という意識が根強く残っている。「男性でもできるのに、女性しかできないとされていること」、逆に「女性もできるのに、男性しかできないとされていること」、このような思いこみや決めつけが「ジェンダー・ギャップ」を生む。 続きを読む
2024年11月30日(土)
約50年前まで歯並びの「叢生」はあまり見られなかった。しかし、約30年前から永久歯に見られるようになり、10年ほど前からは3歳児健診でも、下顎の乳前歯で叢生が見られるようになってきた。
保険医協会では、2004年6月の「噛まない子」「噛めない子」の問題提起に始まり、2005年10月からは食育プロジェクトの活動を開始した。陰圧になりやすい飲み物用の狭い口から、いろんな物が食べやすい広い口へ移行せず、歯が内側に傾いたままで口の中も狭く歯がデコボコに生えている。これらの大部分は、乳幼児期の口腔機能発達不全と考えられる。咀嚼の発達は舌の動きと口唇閉鎖が基本となる。「何をどれだけ」食べるかという「栄養素栄養学」から、機能の発達のために「どのようにして」食べるかという視点を持つようになった。 続きを読む
2021年05月18日(火)
歯科医師又は歯科衛生士による介護職員への助言・指導を評価した施設が算定できる口腔衛生管理体制加算は、平成21年に新設されて以来、施設入所者全員の口腔ケアの強化に貢献してきた。歯科医師または歯科衛生士が介護施設へ毎月赴き介護職員と顔を合わせて、入所者の口腔ケアや口から食べる支援に関してきめ細やかに議論し、その継続によって連携・コミュニケーションを深めてきた。研修会を開催し、それぞれの共通理解を育み、疑問点を解決してきた。
続きを読む
2016年11月15日(火)
歯冠修復物及び欠損補綴物を製作後、患者さんが理由なく来院しなくなった場合や患者さんの意思により治療を中止した場合に、装着予定日から起算して1月以上経過した時点で、歯科医院は保険者にその製作物の費用を未来院請求することができる。この製作物の保管期間は製作日から1年間となっている。 続きを読む
2023年10月17日(火)
歯並びの叢生は、約50年前まではあまり見られなかったが、診療室で約30年前より永久歯に見られるようになり、約10年前より乳歯にも見られるようになってきた。3歳児健診でも、下顎の乳前歯で叢生が見られるようになった。
厚生科学審議会地域保健健康増進栄養部会 歯科口腔保健の推進に関する専門委員会の報告書によると、歯科口腔保健の推進に関する基本的事項19項目の中で、唯一悪化しているのは「3歳児の不正咬合」であった。この原因は、添い乳と食姿勢や食べ方、鼻閉などによる口腔機能発達の仕方にあると推測され、それらを学ぶ機会が重要である。そして、これを、2024年度から実施予定の次期「健康日本21(第3次)」の重要課題とし、国及び地方公共団体の施策等に反映させるべきである。 続きを読む
